Nos réalisations

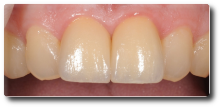
Ponts et couronnes

Avant
Après - Pont Zircon 14 à 24
imag1.1imag1.2

Ponts et couronnes sur implants

Avant
Avant Après - Pont céramo-métallique 12 à 23 sur implants
imag2.1imag2.2

Ponts et couronnes sur implants

Avant
Après - Couronne Céramo-métallique 11 sur implant
imag3.1imag3.2

Ponts et couronnes sur implants

Avant
Après - Couronne Céramique 12 sur implant
imag4.1imag4.2

Couronnes et facettes EMPRESS®

Avant
Après - Facettes Empress ® 13 à 23
imag5.1imag5.2

Couronnes et facettes EMPRESS®

Avant
Avant Après - Couronnes et Facettes Empress® Bouche complète
imag7.1imag7.2

Ponts et couronnes LAVA®

Avant
Après - Couronnes Lava® 11 et 21 (choix de couleurs en laboratoire)
imag8.1imag8.2

Ponts et couronnes LAVA®

Avant
Après - Couronnes et pont Lava® (haut seulement)
imag9.1imag9.2